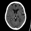
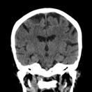
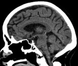
History of Ischemic Stroke

2 years ago. Diagnosed as a left middle cerebral artery (MCA) lacunar infarct.

  • Sequelae: Mild, persistent weakness in his left leg. He walks with a slight limp but is fully independent and ambulatory, with no residual arm or speech deficits.
  • Previous CT-scan:

                      

    • Ask history of allergies
    • Asking History of Medications
    • Asking History of Others diseases
    • Asking social history

    Map: The Telemedicine Dilemma 1.0 (1084)
    Node: 20400
    Score:

    reset

    OpenLabyrinth
    OpenLabyrinth is an open source educational pathway system

    Review your pathway

    • Clean your hands
    • Styren tar over saken og bestemmer i samarbeid med meg at assistenten får oppfølging og veiledning fra styren og meg ukevis
    • 12.Starting tennis, running and playing volleyball
    • DNA template, Primers, RNA polymerase, dNTPs, Buffer solution
    • If the pregnant is overweight:
    • O professor atribui os papéis.
    • Diploid and Haploid
    • Position your patient
    • Mediu cu conținut ridicat de glucoză pentru celule cu creștere rapidă (DMEM)
    • Cochrane Database Systematic Review
    • Medii de cultură
    • Next visit
    • Jeg merker at resten av personalet stopper å snakke når jeg kommer inn på pauserom. Når jeg tar det opp på avdelingsmøtet, resten av personalet på avdelingen reagerer negativt mot meg og sier at det e
    • PICO
    • Next visit
    • Assistenten forsetter å oppføre seg på samme måte og viser at hun har ikke forstått saken
    • antibiotics – diuretics – split bili and other tests
    • Molde de ADN, Cebadores, ADN polimerasa, dNTPs, Solución tampón
    • Gjør og sier ingenting mer. Det er ikke mitt problem måten at hun oppfører seg
    • History of Ischemic Stroke

    Reminder

    empty_reminder_msg

    FINISH

    Time is up