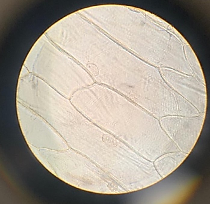
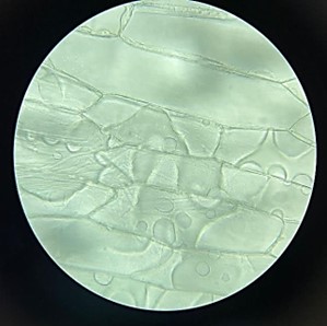
Observarea la microscop a celulei vegetale

Observați la un microscop compus cele trei lame pe care le-ați pregătit. Iată ce vei vedea.

Proba 1: Celule de ceapă în apă distilată (soluție hipotonică)

Proba 2: Celule de ceapă în 0.9% NaCl (soluție izotonică)

Proba 3: Celule de ceapă în 6% NaCl (soluție hipertonică)

Tu: Membrana plasmatică a celulei de ceapă în soluție de NaCl 6% este desprinsă de peretele celular în comparație cu celula de ceapă în apă distilată și soluție de NaCl 0,9% care nu s-au detașat!

Prof. Ionescu: Corect! Pe baza a ceea ce am menționat mai devreme, care este sensul acestei schimbări?

Tu: Înseamnă că apa s-a mutat din celulă pentru că soluția de NaCl 6% este o soluție hiperotonică, iar asta se numește plasmoliză.

Prof. Ionescu: Bravo!

 

Ce terminologii putem folosi pentru a explica modificările structurale ale celulelor de ceapă în apă distilată (soluție hipotonică) și respectiv soluție NaCl 0,9% (soluție izotonică)?

  • Celule turgescente (în soluție hipotonică) și celule flasce (dezumflate) (în soluție izotonică)
  • Celule flasce (dezumflate) (în soluție hipotonică) și celule turgescente (în soluție izotonică)
  • Celule turgescente (în soluție hipotonică) și celule în plasmoliză (în soluție izotonică)

Map: CS3 - STRUCTURA ȘI FUNCȚIILE CELULEI - ROMANIAN (983)
Node: 18465
Score:

reset

OpenLabyrinth
OpenLabyrinth is an open source educational pathway system

Review your pathway

  • Προτείνεις να δώσεις χρήματα από τον κουμπαρά σου.
  • Option 3
  • Option 2
  • Your detail explanation
  • Spironolactone
  • State that assessment cannot continue without a clear image
  • Spironolactone (aldosterone/mineralocorticoid receptor antagonist)
  • Τεστ Biuret
  • Bisoprolol (beta blocker)
  • Ask the patient to take a clear photo of the wound (10–15 cm distance, adequate lighting) and upload it to the app
  • Respond bluntly: “That is common in diabetes.”
  • Node 11: Discuss involving a family member for additional support
  • Epilogue
  • Setting up the reaction
  • Ezetimibe
  • Epilogue
  • Tipuri de microscopie electronică
  • Jonah prefere ficar sozinho.
  • DNA template, Primers, RNA polymerase, dNTPs, Buffer solution
  • Oral prednisolone
  • Furosemide (loop diuretic)
  • A higher magnification is needed to observe the cells
  • To avoid ripping it making it dirty it from outside the lab
  • Escenario con múltiples hijos
  • The result
  • Ποσοτικοποίηση του βακτηριακού φορτίου: Σειριακές αραιώσεις.
  • The result
  • Τεστ Ξανθοπρωτεΐνης
  • Προτείνεις να καλέσεις τους φίλους σου στο σπίτι σου.
  • Node 15: Discuss the importance of feedback
  • Cardiac arrest
  • continue therapy
  • Echipament de protecție în laborator
  • Description 1
  • Structure the flow
  • Resultados de los cultivos líquidos
  • Cell observation after 12-18 hrs incubation
  • stop antibiotics
  • Στερεοτακτική Βιοψία
  • Τεστ διφαινυλαμίνης
  • Assign a coordinator but without explaining roles
  • Plating your cells
  • Προτείνεις να επισκεφτείς τους φίλους σου.
  • Observarea la microscop a celulei vegetale

Reminder

empty_reminder_msg

FINISH

Time is up