-Συνδυασμός ανιούσας και κατιούσας ουρηθρογραφίας

Σωστά. Είναι η εξέταση επιλογής, που θα σου δώσει λεπτομερώς πληροφορίες για τη θέση και την έκταση του στενώματος

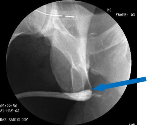
Ο συνδυασμός ανιούσας (Εικόνα 1) και κατιούσας (Εικόνα 2) ουρηθρογραφίας αναδεικνύει αναστομωτικό στένωμα μήκους ενός εκατοστού. Η προσπάθεια καθετηριασμού με καθετήρα 10 French, ώστε να ακολουθήσει διαστολή του στενώματος αποτυγχάνει.


Εικόνα 1 Ανιούσα ουρηθρογραφία (Το μπλέ βέλος δείχνει το σημείο του στενώματος)


Εικόνα 2 Κατιούσα ουρηθρογραφία (Το μπλέ βέλος δείχνει το σημείο του στενώματος)

Ποιός ο ενδεικνυόμενος χειρισμός για την αποκατάσταση της επιπλοκής;

 

 

  • -Ανοικτή ουρηθροπλαστική με υπερηβική προσέγγιση
  • -Ενδοσκοπική ουρηθροτομή με τη χρήση του οπτικού ουρηθροτόμου
  • -Επανάληψη της ανοικτής διαπερινεϊκής ουρηθροπλαστικής
  • -Παραβίαση του ουρηθρικού στενώματος με μεταλλικά διαστολικά κηρία και διαστολή ουρήθρας

Timer:


Map: Pelvic injury (98)
Node: 4214
Score:

reset

OpenLabyrinth
OpenLabyrinth is an open source educational pathway system

Review your pathway

  • Συμπεράσματα
  • Νεφρόγραμμα
  • Με κυτταρολογική εξέταση κατά Tzanck, βιοψία και ανοσολογικό έλεγχο
  • Νευρολογική εξέταση
  • Αποφυγή άσκησης
  • Αιματολογικές, βιοχημικές και λοιπές εξετάσεις
  • Απεικόνιση
  • Μεταβολικό νόσημα
  • -Συνδυασμός ανιούσας και κατιούσας ουρηθρογραφίας

Reminder

FINISH

Time is up