4x Objective (low power)

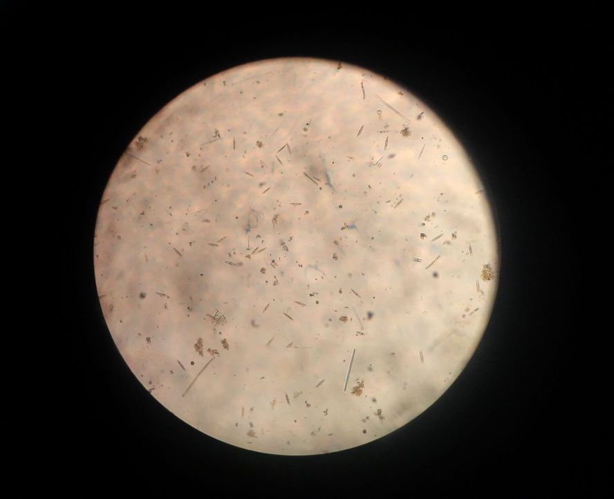
As you begin observing your wet mount sample under the compound microscope at 4X magnification, you notice some details but find that they're not getting the level of detail you were hoping for.

You: "Hmm, I can see some of the bacteria, but it's not as clear as I expected."

Sarah: "Yeah, I thought we'd be able to see more details at this magnification."

Emily: "Do you think we should try increasing the magnification?"

Professor Johnson: "It's great that you're noticing this. Increasing the magnification could provide more detail, but remember, it's essential to balance magnification with field of view."

You: "What do you mean?"

Professor Johnson: "When you increase the magnification, you'll see more detail, but you'll also see less of the sample at once. This means you might need to scan around more to get a complete picture."

Sarah: "So, how do we decide?"

Professor Johnson: "Try increasing the magnification step by step. See if you can find a balance where you're getting enough detail without sacrificing too much of the field of view."

  • 100x Objective
  • 40x Objective (high power)

Map: INTRODUCTION TO LIGHT MICROSCOPY RΟΜΑΝΙΑΝ (960)
Node: 17986
Score:

reset

OpenLabyrinth
OpenLabyrinth is an open source educational pathway system

Review your pathway

  • Έκτακτες κοιλιακές
  • Ταχυκαρδία και έκτακτες συστολές
  • Φλεβοκομβικός ρυθμός
  • Τη βοηθάτε να περιηγηθεί και της δείχνετε τις βασικές λειτουργίες του tablet.
  • Δεδομένου ότι η ίδια κάνει κάτι λάθος, από τη στιγμή που σε εσάς λειτουργεί κανονικά, της δίνετε οδηγίες ώστε να συνδεθεί μόνη της στο σπίτι και να τα δει εκεί.
  • Σταματάτε τη παρέμβαση, ώστε να μπορέσετε να επικοινωνήσετε με τους τεχνικούς, για να σας βοηθήσουν.
  • Το πρόβλημα δεν φαίνεται να είναι τεχνικό. Της ζητάτε να χρησιμοποιήσει το μεσαίο δάχτυλο αντί του δείκτη, ώστε να δείτε μήπως υπάρξει μεγαλύτερη ανταπόκριση.
  • Της ζητάτε να πατάει στην οθόνη με το επίπεδο μέρος του δαχτύλου αντί του άκρου.
  • Της εξηγείτε ότι δεν μπορείτε να συνεχίσετε λόγω αυτού και της ζητάτε την επόμενη φορά να έχει κοντά νύχια.
  • 4x Objective (low power)

Reminder

empty_reminder_msg

FINISH

Time is up