Αντικειμενικός φακός 4x (χαμηλής ισχύος)

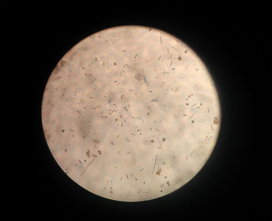
Καθώς αρχίζετε να παρατηρείτε το δείγμα του νωπού παρασκευάσματος στο οπτικό μικροσκόπιο σε μεγέθυνση 4Χ, παρατηρείτε κάποιες λεπτομέρειες, αλλά διαπιστώνετε ότι δεν έχουν το επίπεδο λεπτομέρειας που ελπίζατε.

Εσείς: Μπορώ να δω μερικά από τα βακτήρια, αλλά δεν είναι τόσο καθαρά όσο περίμενα.

Σάρα: Ναι, νόμιζα ότι θα μπορούσαμε να δούμε περισσότερες λεπτομέρειες σε αυτή τη μεγέθυνση.

Εμιλία: Πιστεύετε ότι πρέπει να δοκιμάσουμε να αυξήσουμε τη μεγέθυνση;

Καθηγητής Ιωάννου: Είναι υπέροχο που το παρατηρείτε αυτό. Η αύξηση της μεγέθυνσης θα μπορούσε να προσφέρει περισσότερες λεπτομέρειες, αλλά θυμηθείτε, είναι σημαντικό να εξισορροπήσετε τη μεγέθυνση με το εύρος του οπτικού πεδίου.

Εσείς: Τι εννοείτε;

Καθηγητής Ιωάννου: Όταν αυξάνετε τη μεγέθυνση, θα βλέπετε περισσότερες λεπτομέρειες, αλλά θα βλέπετε επίσης και μικρότερο μέρος του δείγματος ταυτόχρονα. Αυτό σημαίνει ότι μπορεί να χρειαστεί να σαρώσετε περισσότερο κατά μήκος της αντικειμενοφόρου πλάκας για να έχετε μια πλήρη εικόνα.

Σάρα: Και πώς αποφασίζουμε;

Καθηγητής Ιωάννου: Δοκιμάστε να αυξήσετε τη μεγέθυνση βήμα προς βήμα. Δείτε αν μπορείτε να βρείτε μια ισορροπία όπου θα λαμβάνετε αρκετές λεπτομέρειες χωρίς να θυσιάζετε πολύ μεγάλο μέρος του οπτικού πεδίου.

Εσείς και οι άλλοι φοιτητές ρυθμίζετε τη μεγέθυνση σε 40Χ και συνεχίζετε την παρατήρησή σας.

Εμιλία: Μπορούμε να δούμε πολύ περισσότερες λεπτομέρειες τώρα!

Εσείς: Νομίζω ότι αυτή η μεγέθυνση λειτουργεί καλύτερα για αυτό που προσπαθούμε να δούμε.

Συνεχίζετε την παρατήρησή σας, ικανοποιημένοι πλέον με την επιλογή της μεγέθυνσης και ανυπόμονοι να εξερευνήσετε περισσότερο τον μικροσκοπικό κόσμο.

  • Αντικειμενικός φακός 100x
  • Αντικειμενικός φακός υψηλής ισχύος (40Χ)

Map: CS1 - ΕΙΣΑΓΩΓΗ ΣΤΗ ΜΙΚΡΟΣΚΟΠΙΑ ΦΩΤΟΣ (952)
Node: 17828
Score:

reset

OpenLabyrinth
OpenLabyrinth is an open source educational pathway system

Review your pathway

  • ΕΙΣΑΓΩΓΗ ΣΤΗ ΜΙΚΡΟΣΚΟΠΙΑ ΦΩΤΟΣ
  • Προετοιμασία αντικειμενοφόρου πλάκας 2
  • Προετοιμασία αντικειμενοφόρου πλάκας 1
  • Αντικειμενικός φακός 100x
  • Αντικειμενικός φακός υψηλής ισχύος (40Χ)
  • Αντικειμενικός φακός 4x (χαμηλής ισχύος)

Reminder

empty_reminder_msg

FINISH

Time is up