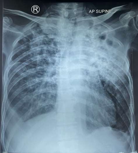
Outcome

The patient is unnecessarily started on a longer, more toxic regimen.

Map: Yellow Skin and Worsened Cough (1129)
Node: 21524
Score:

reset

OpenLabyrinth
OpenLabyrinth is an open source educational pathway system

Review your pathway

  • Outcome

Reminder

empty_reminder_msg

FINISH

Time is up