History of Ischemic Stroke

2 years ago. Diagnosed as a left middle cerebral artery (MCA) lacunar infarct.

  • Sequelae: Mild, persistent weakness in his left leg. He walks with a slight limp but is fully independent and ambulatory, with no residual arm or speech deficits.
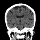
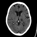
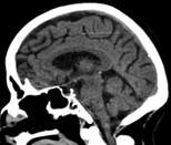
  • Previous CT-scan:

                      

    • Asking social history
    • Ask history of allergies
    • Asking History of Others diseases
    • Asking History of Medications

    Map: The Telemedicine Dilemma 1.1 (1089)
    Node: 20542
    Score:

    reset

    OpenLabyrinth
    OpenLabyrinth is an open source educational pathway system

    Review your pathway

    • Pe halat se pot transfera materiale periculoase în exteriorul laboratorului și se poate contamina zona
    • How is blood formed?
    • Traits
    • Conuri de pin
    • De la 1 cm până la 10 m
    • MAC
    • Option 1: A and C are correct
    • Allele
    • DNA template, Primers, DNA polymerase, dNTPs, Buffer solution
    • Γονότυπος και Φαινότυπος
    • Nebulized ipratropium
    • EcoRI
    • Option 1
    • Ώσμωση
    • Pipetas
    • Start by immersing the pipette in the liquid you intent to aspirate.
    • Vital Sign
    • Gastrointestinal symptoms
    • Tell the patient to change devices without giving proper guidance.
    • Lab Tests
    • Onion root tip
    • Option 3
    • DNA template, Primers, DNA polymerase, rNTPs, Buffer solution
    • Medio enriquecido para el crecimiento bacteriano (medio LB)
    • Inhalational fluticasone
    • Trying to explain
    • Low-glucose media for energy-limited systems (DMEM-LG)
    • Amlodipine (Calcium Channel Blocker) Adverse Effects
    • LB
    • Vârful rădăcinii de ceapă
    • History of TB
    • MAC
    • What happens with the Age?
    • Ca să nu rupem sau murdărim halatul în afara laboratorului
    • Results
    • Διάχυση
    • Preparation of liquid cultures
    • Start by selecting the pipette appropriate for your volume.
    • Reschedule without offering alternative solutions
    • Frunze de stejar bătrân
    • DNA template, RNA polymerase, dNTPs, Buffer solution
    • Αποτελέσματα καρυότυπου
    • Ξεκινήστε επιλέγοντας την πιπέτα που είναι κατάλληλη για τον όγκο που θέλετε να μετρήσετε
    • Option 3
    • Afterload
    • Contractility
    • At home
    • De la 50nm până la 1mm
    • Lab Tests
    • The History of alcohol use
    • De la 5nm până la 100μm
    • Option 2
    • Further developments
    • Τα κύτταρα HeLa είναι φυσικά ανθεκτικά σε όλα τα φάρμακα.
    • The onset
    • Terbutaline (SABA)
    • Digestia cu endonucleaze de restricție: Condiții optime
    • Preload
    • MSA
    • you will need to adjust the camera focus and sit further from camera
    • Medio con alto contenido de glucosa para células de crecimiento rápido (DMEM)
    • Validate the emotion
    • Αύξηση της συγκέντρωσης του προϊόντος
    • Rezultatele obținute din culturi lichide
    • Pertinent negatives
    • Medio bajo en glucosa para sistemas con energía limitada (DMEM-LG)
    • Τα κύτταρα HeLa καλλιεργούνται εύκολα και παρουσιάζουν υψηλό ρυθμό πολλαπλασιασμού.
    • Delayed adverse effect due to rivaroxaban
    • Tele-Physical Examination
    • Low-glucose media for energy-limited systems (DMEM-LG)
    • Mechanism of action of GTN
    • Blame the patient for non-adherence
    • Waiting the resource
    • Preload
    • Isosorbide mononitrate (organic nitrate)
    • Adverse effect due to heparin
    • Adverse effect due to warfarin
    • new node
    • Interaction between heparin and warfarin
    • Ignore the emotional expression.
    • Creșterea temperaturii și a pH-ului
    • History of Ischemic Stroke

    Reminder

    empty_reminder_msg

    FINISH

    Time is up